All smiles here. Welcome to Marsh Orthodontics.

Nice to meet you!

We’re a family-owned, patient-centered orthodontic practice led by Dr. Spencer Marsh in Cary, North Carolina. We believe every smile has the power to change a life for the better, and we’re here to help you share yours with confidence.

 

Dr. Spencer Marsh orthodontist Cary, NC

The doctor’s in.

With extensive training and a commitment to patient-focused care, Dr. Marsh is a board-certified orthodontist passionate about creating beautiful, healthy smiles. Dr. Marsh believes that if people feel good, then they will do good!

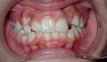
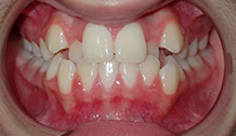
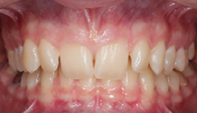
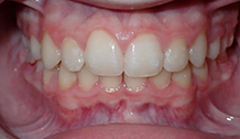
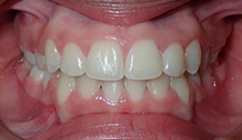
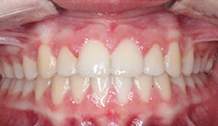
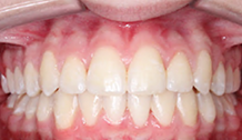
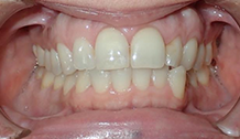
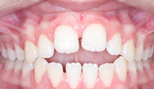
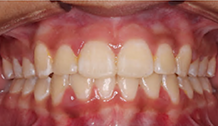
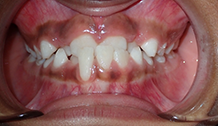
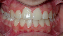
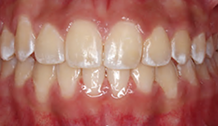
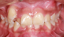
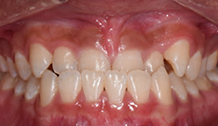
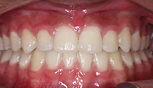
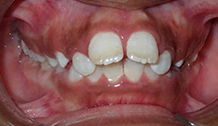
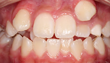
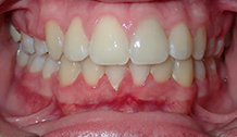
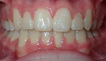
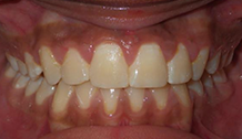
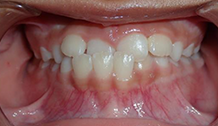
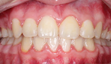
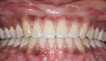
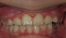
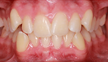
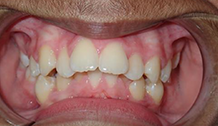
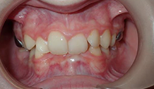
Conditions We Treat

More than just a pretty smile.

Issues with your bite and alignment can shorten the lifespan of your teeth!

Specialized Care

braces-clear-img

Braces

Fast, effective, and durable. Perfect for any age.

A smiling girl in a blue sweater holds a clear dental retainer, showcasing it proudly. The image conveys a sense of confidence and dental care.

Clear Aligners

Achieve your best smile without anyone noticing.

A young child with brown hair smiles brightly, wearing a green striped shirt. The background is plain white, conveying a cheerful and playful mood.

Early Treatment

Interceptive treatment to prevent future problems.

Look Good.
Feel Good.
Do Good.

A New Smile Starts with One Click.